こどもの矯正 むらかみ歯科・矯正歯科

お電話でのご予約・ご相談

0284-64-8471
検診新患WEB予約 小児矯正新患WEB予約
キービジュアル

お子さんの「歯並び無料相談」実施中

月々6,500円 矯正治療ができます!

  • 相談料 0円
  • 診断・コンサルテーション 0円
  • 精密検査 0円(※通院中の患者さんの場合)
  • 矯正中の調整料 0円
  • 矯正中のMFT 0円
  • デンタルモニタリング料 0円(遠隔矯正管理、キット)
  • 画像
  • 画像

さらに、次のような「効果」も・・・

  • 後戻り」しにくい
  • 喘息」の改善
  • 鼻呼吸」の獲得
  • いびき」の改善
  • アトピー」の改善
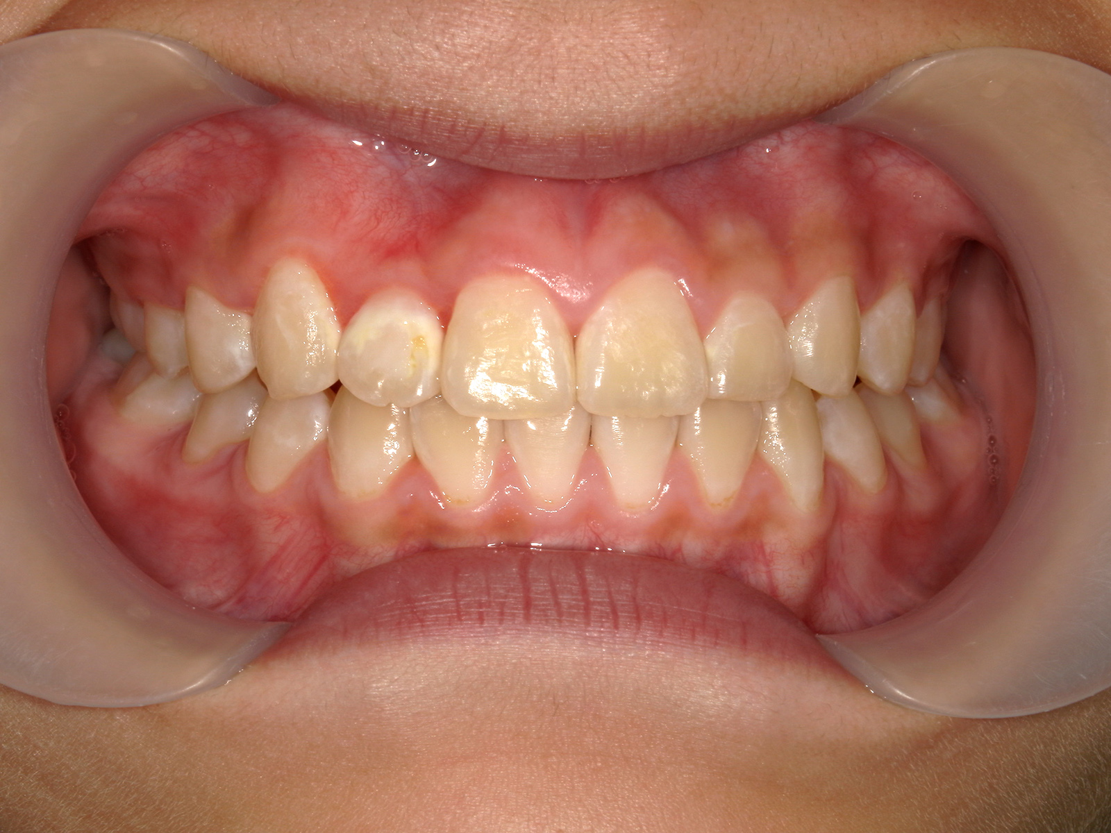
  • 治療前
  • 治療後

バイオセラピーによって歯並びを整えたケース。
リスク・副作用:矯正期間中は適切に歯磨きをしないと虫歯のリスクが高くなる。
費用:33万円(税込)

  • 治療前
  • 治療後

バイオセラピーによって歯並びを改善したケース。
リスク・副作用:歯の動きによって痛みが強く出る可能性がある。
費用:33万円(税込)

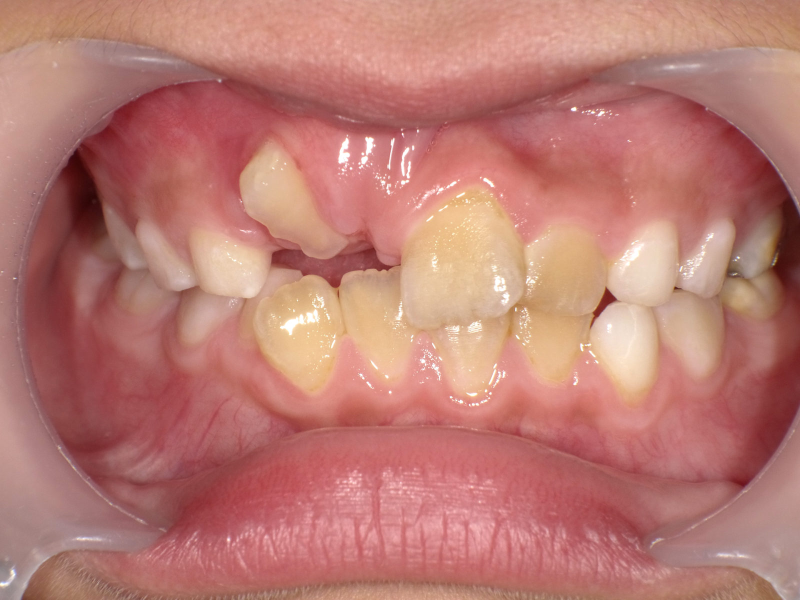
  • 治療前
  • 治療後

マウスピース矯正装置「インビザライン ファースト」によって歯並びを整えたケース。
リスク・副作用:歯の動きによって痛みが出る可能性がある。
費用:62万円(税込)

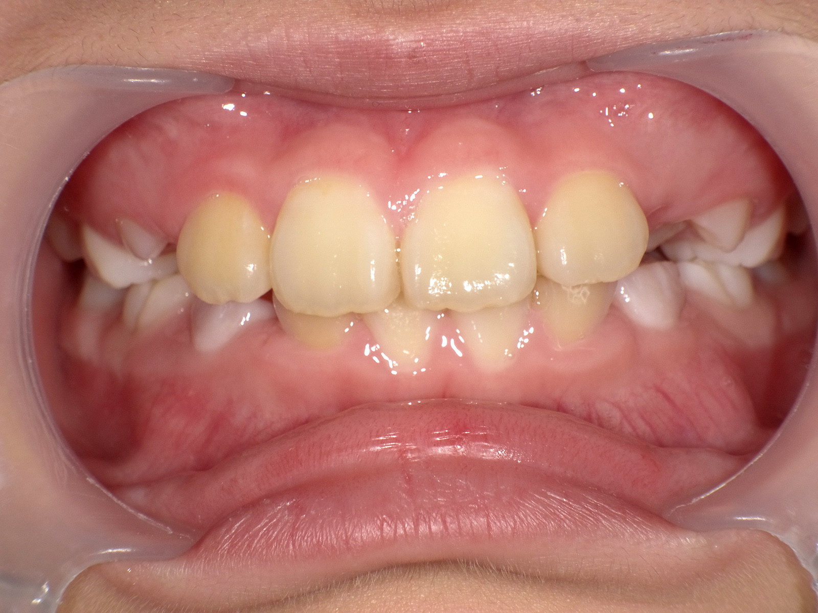
  • 治療前
  • 治療後

マウスピース矯正装置「インビザライン ファースト」によって歯並びを改善したケース。
リスク・副作用:歯磨きを怠ると虫歯になる可能性がある。
費用:66万円(税込)

  • 治療前
  • 治療後

ワイヤー矯正によって歯並びを整えたケース。
リスク・副作用:歯磨きを怠ると虫歯になる可能性がある。ワイヤーによって口内炎ができることがある。
費用:66万円(税込)

  • 治療前
  • 治療後

ワイヤー矯正によって歯並びを改善したケース。
リスク・副作用:歯の動きによって痛みが出ることがある。ワイヤーによって口内炎ができることがある。
※埋伏歯牽引術も含む
費用:70万円(税込)

コラム治療実績が豊富な、女性ドクターが在籍

画像
画像

Invisalign認定ドクター」の資格を持つ、矯正治療で経験と実績のある女性ドクター(副院長)が在籍しています。副院長も3人の子育て中のママ。どうぞ安心して、お気軽にご相談にいらしてください。

また当院は、女性患者に寄り添い、お口から全身の健康美をサポートする女性歯科医師のグループ「女性にやさしい歯医者さん」に加入しています。

ホルモンバランスの乱れや妊娠・出産にまつわる不調など、女性特有の悩みは口腔環境が関わっていることも多くあります。お子さんはもちろん、お子さんを持つママのお口の健康もしっかりサポートさせていただきます。

矯正担当ドクターと歯科衛生士で、チーム医療を実践

  • 画像

    矯正担当ドクター 篠田 拓馬

  • 画像

    歯科衛生士

矯正治療は、「Invisalign認定ドクター」の資格を持つ、矯正治療で経験と実績のある副院長と篠田先生の2名で対応。また、カウンセリングでは歯科衛生士が患者さんのお悩みやご要望をしっかり伺い、お口の健康をサポートさせていただいています。患者さんが笑顔に自信を持てるよう、ドクターと歯科衛生士が一丸となりチーム医療で取り組んでいます。

歯並びが悪くなる根本的原因は「食生活」

画像

歯並びが悪くなる原因は1つではありませんが、現代人に多い原因が「歯の大きさ」です。

昔と比べて、現代人の歯は大きくなっていますが、反対にあごは小さくなっています。この変化の要因は私たちの食生活にあると言えるでしょう。栄養状態が良くなったことで、歯は大きく発育しますが、柔らかい食べ物が増え、咀嚼回数が減少しているため、あごの成長が抑制されてしまいます

小さなあごに大きな歯が生えてくるとスペースが足りず歯が重なり合ってしまい、その結果、歯並びがガタガタに乱れてしまうのです。

 

成長過程でアプローチする歯並び矯正

前述したように、歯並びが悪くなる一因は、あごが小さいことによって歯の生えるスペースが狭いということです。この問題を解決するには、成長過程である子どもの頃に、あごの成長を妨げないように促すアプローチが必要です。
具体的には

●「噛む力」を養うための食事改善
●口の機能を整える筋肉トレーニング
●悪癖(指しゃぶり、口呼吸、頬づえなど)の矯正

などです。
これらに取り組むことで、歯並びが悪くなるリスクを軽減することが可能です。

当院の矯正治療をご紹介します

画像

悪癖の改善と同時に、トレーニング矯正装置を併用して歯並びを整えていきます。矯正装置は、年齢に応じて適切なものを選択します。

お子さんの年齢

矯正装置

3〜6歳

プレオルソ

画像

7〜9歳

インビザライン ファースト

画像

10〜18歳

インビザラインティーン

画像

以下、それぞれご紹介します。

トレーニングで筋肉のバランスを整える「バイオセラピー」

画像

バイオセラピー」とは、口周りの筋肉をバランスよく鍛えるトレーニング法で、「口腔筋機能療法」や「MFT」ともいいます。口周りの筋肉の重要性はあまり認識されていないことが多いですが、子どもの歯並びにとって口周りの筋肉を鍛えることは非常に重要です。

筋肉のバランスが崩れていると、出っ歯や受け口、開咬の原因になることがあります。例えば、舌が前歯を押し続けると、歯が前に出て出っ歯になります。バイオセラピーでは、舌、唇、頬などの筋肉を鍛え、バランスを整えることで、歯並びの悪化を防ぎます。また、口呼吸や歯周病、ドライマウスなどの改善にもつながります。

当院では口腔機能の発達をサポートするFOREST-ONEの「Kids smile」を利用し、患者さんのトレーニングデータを記録しています。

画像

マウスピースでお口の成長を促す「プレオルソ」

画像
画像

マウスピース型の矯正装置「プレオルソ」は、直接歯を動かすのではなく、口周りの筋肉を鍛えるための装置です。対象は3~6歳ごろの子どもです。
口の周りの筋肉や舌、頬、唇からの力のバランスが崩れると、歯並びが悪くなることがあります。この装置はそのバランスを正常に戻し、歯並びにとって良い癖をつけることを目的としています。その結果、歯が自然に本来の位置に導かれることになります。

多くの場合、プレオルソでの治療が終わった後、「インビザライン ファースト」の治療に進み、歯並びを整えていきます。

目立たないマウスピース矯正「インビザライン ファースト」

画像
画像

世界で最も多く使われているマウスピース矯正装置「インビザライン」の中で、「インビザライン ファースト」はお子さんの歯並び改善に特化した製品です。当院では、主に7〜9歳のお子さんの矯正治療にインビザライン ファーストを使用しています(10歳以降になると、通常の「インビザライン」が適しています)。1日20時間以上の装着が必要ですが、簡単に取り外しができるので、お食事や歯みがきで困ることはありません。

次のような特長があります。

特長①「むし歯」になりにくい

画像

従来からある「ワイヤー矯正」では、矯正装置を取り外せないため、装置と歯の間に食べかすが詰まってしまい、そこから虫歯になることがありました。インビザライン ファーストでは取り外して歯みがきできるため、虫歯になるリスクが少なくなります。

特長②歯医者に通う回数が少ない

画像

ワイヤー矯正では、毎月ご来院いただき装置を調整する必要がありましたが、インビザライン ファーストではでは1.5~3ヵ月おきの通院で済みます。何度も歯医者に通う負担が軽減されます。

特徴③「部活動や楽器演奏」も継続できます

ワイヤー矯正では、口を使って演奏する楽器や一部のスポーツに制限があります。取り外せない金属製の装置がお口に入っているため、口の中をケガしてしまう危険性があるためです。インビザライン ファーストは取り外せる上、薄く柔軟性のある素材でできているので、楽器演奏やスポーツの妨げになりません。

  • 画像
  • 画像

必要に応じて「ワイヤー矯正」を行うことも

画像

トレーニングやマウスピース矯正装置で治療が終わらない場合、従来からある「ワイヤー矯正装置」を使うこともあります。お子さんの場合、ワイヤー矯正は歯並びを整える最後の仕上げに使用するので、ほとんどの場合、使用期間は短くて済みます。

コラム通院回数を減らし、治療をより確実に
デンタルモニタリング(遠隔矯正管理)

画像

スマートフォンで治療の進み具合をチェック。
インビザライン治療をより安心・効率的に進める最新システムです。

  • 通院回数を減らせる
  • 治療の遅れを早期に防ぐ
  • 矯正担当歯科医師・歯科衛生士が必ず確認

追加費用0円でご利用いただけます

インビザライン治療は、「正しく管理できているかどうか」が結果を大きく左右します。

デンタルモニタリングは、患者さまが来院されていない期間も治療状況を細かく確認できるため、より安全で無駄のない治療が可能になります。

安心して通っていただくために

画像

当院では、お子さんに楽しく治療に通ってもらい、また親御さんにも安心していただけるよう、次のような設備を整えています。

キッズスペース

画像
画像

当院では、お子さんに歯医者は「楽しい場所」と思ってもらえるよう、また治療前にリラックスしてもらえるよう、遊具を備えたキッズスペースを完備しています。

セファロの導入

画像

当院では、矯正治療専用のレントゲン「セファロ」を導入しています。これは、歯やあごだけでなく、頭全体を正面と側面から撮影するもので、歯の動きを数値的に判断できるため、治療の精度を向上させることができます。

CTの活用

画像

当院ではお口の周囲を360度回転しながら撮影する「CT」も活用しています。より立体的な3次元イメージを得ることができます。

子どものうちに矯正治療をするべき理由

子どものうちに矯正を行うことには多くのメリットがあります。大人になると、顎の成長は終わり、歯並びも固まっているため、歯を動かすにはスペースを確保するための抜歯や長い治療期間が必要になることがあります。場合によっては外科手術が必要になることもあります。

しかし、子どもの場合、あごの骨は柔らかく広げやすいため、歯も動きやすいのです。永久歯が生える前から治療を開始し、スペースを確保しておくことで、歯もきれいに並びやすくなります。

他にも次のようなメリットがあります。

画像

メリット1思い切り笑える

画像

歯並びの悪さは、思春期の子どもにとってコンプレックスになることがあります。歯並びを気にして笑顔を見せることが減ったり、引っ込み思案になったりする子もいます。そうなる前に歯並びを整えてあげれば、このコンプレックスを解消することができます。

また、出っ歯や受け口、歯のガタガタを改善することで、顔立ちがすっきりすることもあります。

メリット2虫歯・歯周病を予防できる

画像

歯並びが悪いと、歯ブラシでのケアが難しく、みがき残しが生じやすくなります。その結果、虫歯や歯肉炎が発生しやすくなります。矯正治療で歯並びを整えると、ケアがしやすくなり、虫歯や歯肉炎のリスクも減少します。また、口臭の改善にもつながります。

初診「個別」相談へのご案内

当院では、患者さんが抱えていらっしゃるお口のお悩みや疑問・不安などにお応えする機会を設けております。どんなことでも構いませんので、私たちにお話ししていただけたらと思います。
ご興味がある方は下記からお問い合わせください。

むらかみ歯科・矯正歯科

検診新患WEB予約 小児矯正新患WEB予約
0284-64-8471
〒326-0338
栃木県足利市福居町849-1
「東武和泉」駅から徒歩7分
バス停「ヨークタウン」徒歩5分
※駐車場20台分完備